Diagnostik
Die Diagnose der EoE basiert einerseits auf einer gründlichen (sorgfältigen) Befragung des Patienten und seinen Symptomen durch den behandelnden Arzt (Anamnese), andererseits auf einer Magenspiegelung (Obere Panendoskopie) mit gezielter Entnahme von Gewebsproben aus der Speiseröhre (Biopsie) und deren feingeweblicher Untersuchung (Histologie). Zusatzuntersuchungen, zum Beispiel Röntgendarstellungen der Speiseröhre, Computertomografie, Säure- und Druckmessungen können bei unklaren Situationen hilfreich sein.
Endoskopie
Die obere Panendoskopie wird durch einen Magendarm-Spezialisten durchgeführt. Dieser Eingriff gehört zum Grund-Repertoire jedes Magendarm-Spezialisten, ist wenig belastend, risikoarm und schmerzfrei. Wegen des unangenehmen Würgreflexes wird die Untersuchung meistens in einem Kurzschlaf (Sedation) durchgeführt. Sie dauert üblicherweise zwischen 10 und 15 Minuten. Bei kleineren Kindern hingegen ist eine Narkose notwendig. Im Rahmen dieser Untersuchung sucht der Magen Darms Spezialist nach den typischen Veränderungen der EoE zum Beispiel Schwellung der Schleimhaut (Ödem), Längsfurchung, weisse Ausschwitzungen (Exsudate) Ringe und Engstellungen (Strikturen). Weiter kann der Magen Darm Spezialist weitere Ursachen für Schluckstörungen, zum Beispiel Tumore, Refluxkrankheit, Divertikel, bzw. sonstige Erkrankungen im oberen Gastrointestinal-Trakt, wie etwa eine Magenschleimhautentzündung (Gastritis) oder ein Zöliakie, mit dieser Untersuchung ausschliessen.
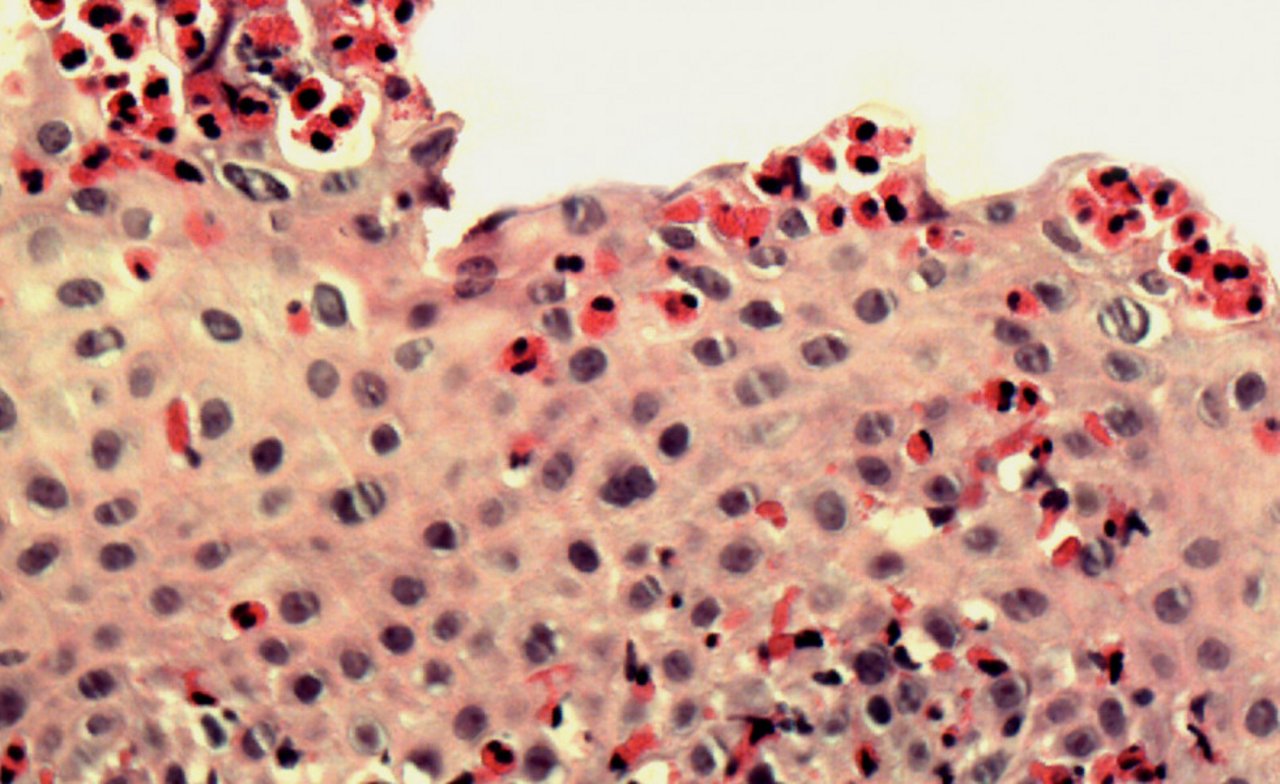
Histologie
Während der Endoskopie entnimmt der Arzt mehrere kleine Gewebsproben (Biopsien) von wenigen Millimetern Grösse. Dieser Eingriff ist risikoarm. Nach Fixierung und Färbung dieser kleinen Gewebsproben werden dieselben durch den Pathologen unter dem Mikroskop untersucht. Typischerweise wird im Gewebe der Speiseröhre eine Infiltration mit eosinophilen Granulozyten gefunden. Dies sind Entzündungszellen (Leukozyten) welche vor allem bei allergischen Entzündungen gefunden werden. Zur Diagnose wird eine minimale Dichte von 15 eosinophiler Granulozyten pro Gesichtsfeld verlangt. Unter erfolgreicher Therapie sollten idealerweise praktisch keine dieser Entzündungszellen mehr im Gewebe nachweisbar sein.



